Zahnersatz aus dem Meisterlabor
fast so gut wie die eigenen zähne
Die Zahnarztpraxis Krause verwendet ausschließlich hochwertige allergiegetestete Materialien für den im deutschen Meisterlabor gefertigten Zahnersatz. Hierbei wird heute die möglichst metallfreie Restauration favorisiert - unter Einbeziehung Ihrer persönlichen Wünsche. Denn wir wollen, dass Sie sich mit Ihren neuen Zähnen attraktiv und gesund fühlen.
Zahnverluste haben verschiedene Ursachen: Karies, Paradontitis, aber auch Unfälle machen Zahnersatz notwendig. Zahnbrücken, Teil- oder Vollprothesen (Implantate) ersetzen dabei die ursprünglichen, jetzt fehlenden Zähne. Fachgerecht hergestellter und eingesetzter Zahnersatz ist also nichts anderes als ein guter Ersatz für verloren gegangene Organe.
Zahnbrücken
Eine oft angewandte Methode, Zahnlücken zu schließen, sind Zahnbrücken. Dabei werden die zum Teil noch gesunden angrenzenden Zähne abgeschliffen und überkront. Im Anschluß dienen sie zum Teil als Pfeilerzähne für die sogenannte Zahnbrücke. Eleganterweise entscheidet man sich deshalb heute oft für Implantate.
ausführliche Beratung
Stellen Sie sich die lebenslange Erhaltung Ihres Gebisses als eine Aufgabe vor, bei der wir gerne an Ihrer Seite sind. Ihr Zahnarzt in Maxvorstadt, Uwe Krause, berät Sie deshalb auch bei der Auswahl des für Sie bestgeeigneten Zahnersatzes im Hinblick auf eine minimale Invasivität. Sie können von uns erwarten, dass wir Ihnen nach gründlicher Untersuchung alle Zahnersatz-Alternativen mit ihren Vor- und Nachteilen vorstellen. Damit Sie eine gute, informierte Entscheidung für Ihre Zahngesundheit treffen können.
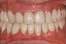
Durch den fachgerechten Austausch einer Metallkeramik-Krone am Schneidezahn gegen eine Vollkeramik-Krone erhält der Schneidezahn ein natürliches Aussehen zurück - für ein strahlendes, natürliches Lächeln.
Metallkeramik-Krone am Schneidezahn
Nach der Behandlung mit Vollkeramik-Krone
Auch, wenn bereits ein Großteil der Zähne verloren ist, gibt es gute Möglichkeiten, Schönheit und Funktion Ihres Gebisses wieder herzustellen. Zum Beispiel mit (herausnehmbaren) Brücken, wie diese Aufnahmen zeigen.
Vorher: Restbezahnung im Oberkiefer mit starker Einschränkung von Ästhetik und Funktion.
Nachher: ein vollständiges Gebiss mit Zahnersatz bzw. abnehmbarer Brücke im Ober- wie Unterkiefer.
Wichtiges zum Thema zahnersatz
Die moderne Zahnheilkunde, wie wir sie praktizieren, kennt eine Fülle von Möglichkeiten des Zahnersatzes. Damit können wir Ihnen auch in schwierigen Situationen hervorragend helfen - ästhetisch, gesundheitlich, funktional.
Wir machen Ihnen sehr gerne eine Kostenkalkulation, die sich an Ihren finanziellen Möglichkeiten und Ihrem Versicherungsstatus orientiert. Zahnersatz muss nicht teuer sein.
Wir empfehlen Ihnen, auch beim Thema Zahnersatz die Verantwortung für Ihr Wohlbefinden zu übernehmen. Verlangen Sie eine Versorgung, die genau zu Ihren Bedürfnissen passt. Wir sind Dienstleister für Ihre Gesundheit.
Auch beim Zahnersatz gibt es unterschiedliche Philosophien der Behandlungs. Uns liegt die langfristig orientierte Zahnerhaltung am Herzen und so behandeln wir Sie auch.
folgende Themen könnten Sie auch interessieren:
Füllungen - Inlays - Hochwertiger Zahnersatz - Implantate - Parodontose-Behandlung -
Kiefer-Funktionsdiagnostik - Amalgamentfernung - Prophylaxe - Veneers -
Bleaching und Zahnschmuck - Homöopathie - Dental Wellness Care - Digitales Röntgen
